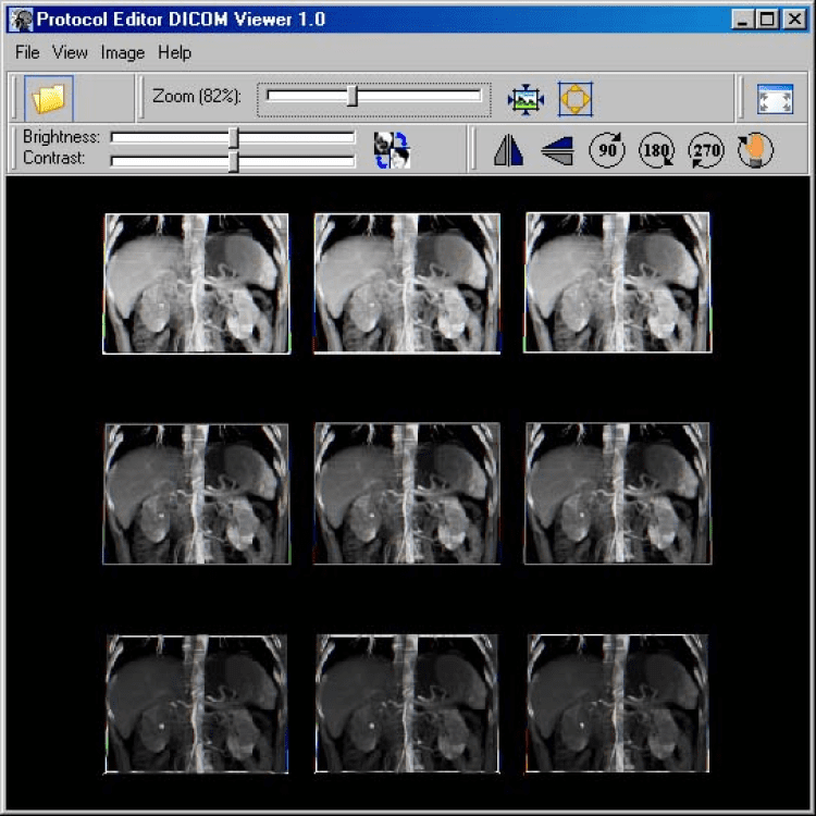
DICOM Viewer - это программа обеспечивает просмотр файлов в формате DICOM, а также в формате JPEG и BMP. Утилита демонстрирует возможности компонентов программы "Редактор протоколов", предназначенных для работы с DICOM. Компоненты могут быть встроены в любую другую медицинскую программу.

DICOM Viewer
Рейтинг:
Лицензия:
Бесплатно
Версия:1.0
Дата обновления:29 марта 2025 г. 3:00
Платформа ОС:Windows 11, 10, 8.1, 8, 7, …
Язык:Английский
Разработчик:
Pantherman
Размер:1.63 МБ
Загрузок:0